← Return to list of services

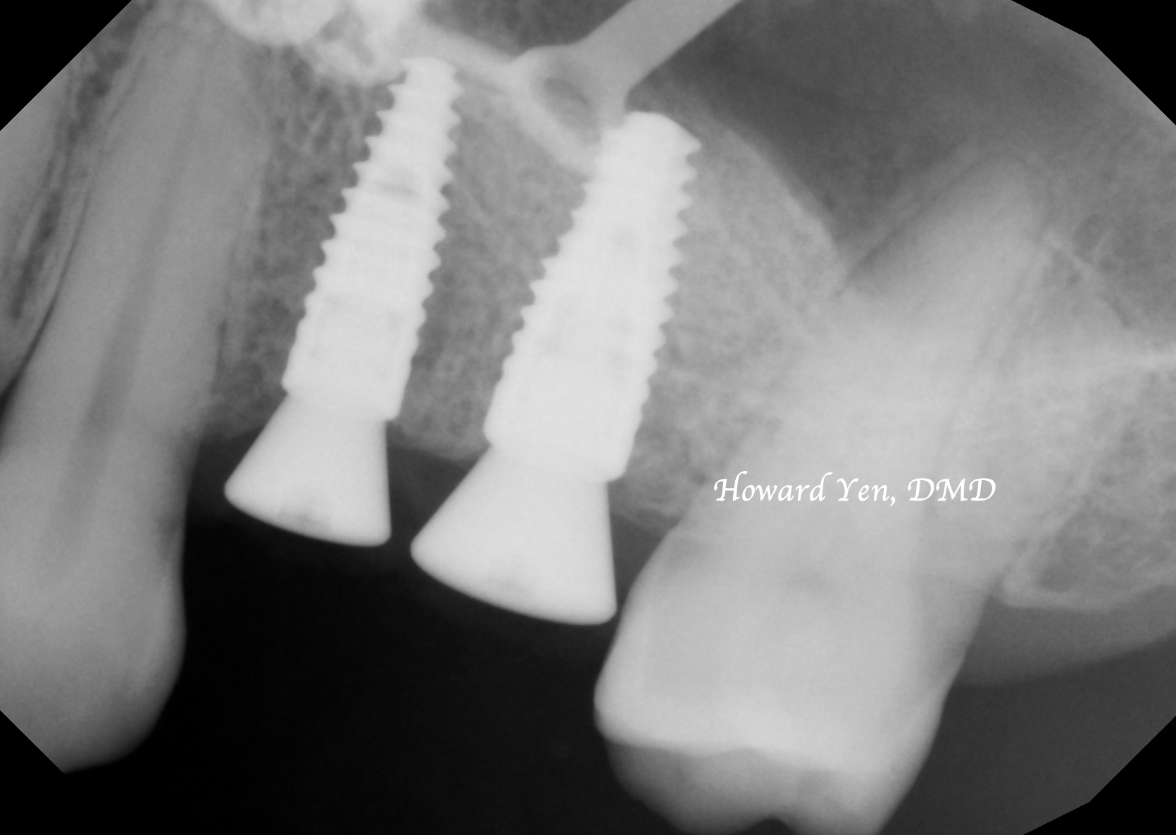
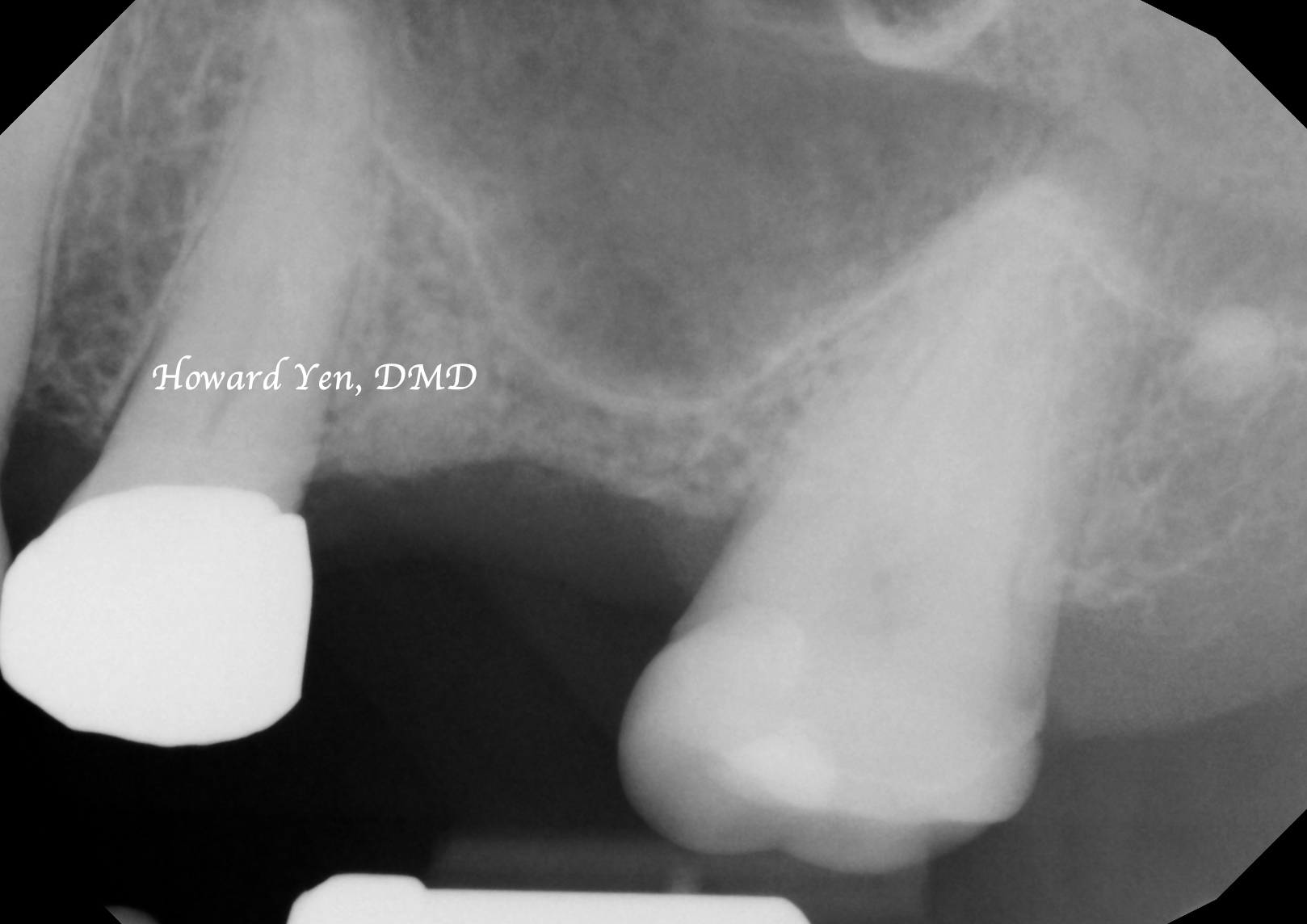
Sinus Lift Bone Graft

There’s the presence of maxillary sinus cavities around our nasal area and upper jaw bone. When an upper back tooth (molar or premolar) is removed, the sinus air cavity will quickly replace the jaw bone space once held by the roots of the molar/premolar. Some surgical interventions can be completed to help reduce the shrinkage of the bone volume or to help reconstruct/re-build the lost jaw bone volume around the sinus region to facilitate the placement of dental implants.

Depending on the amount of bone graft volume needed, dental implant can sometimes be placed simultaneously with sinus lift bone graft to help patient in reducing the overall treatment & healing time.