← Return to list of services

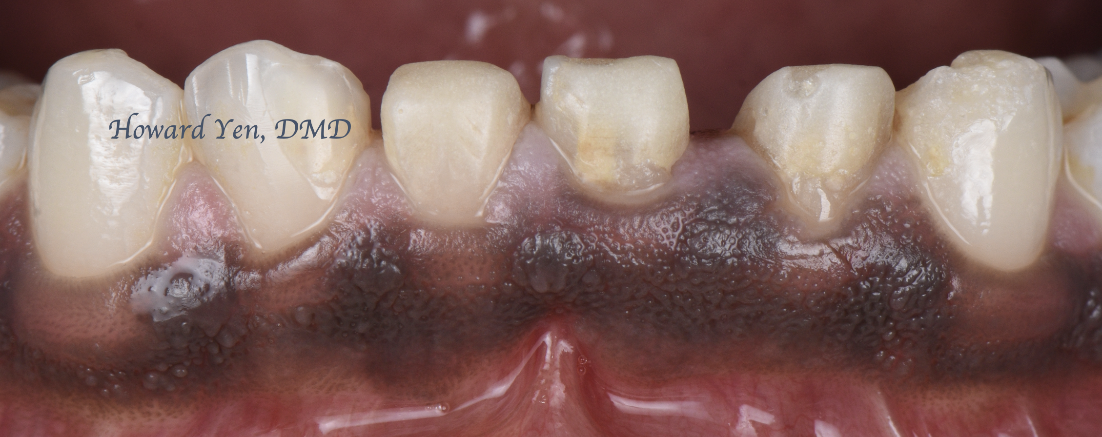
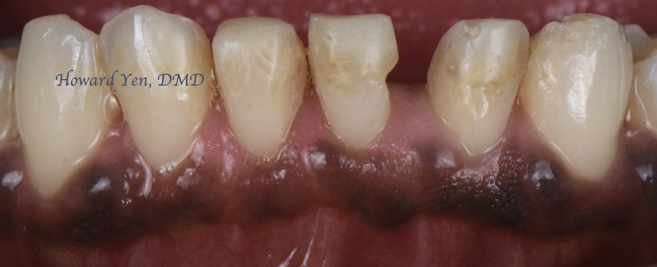
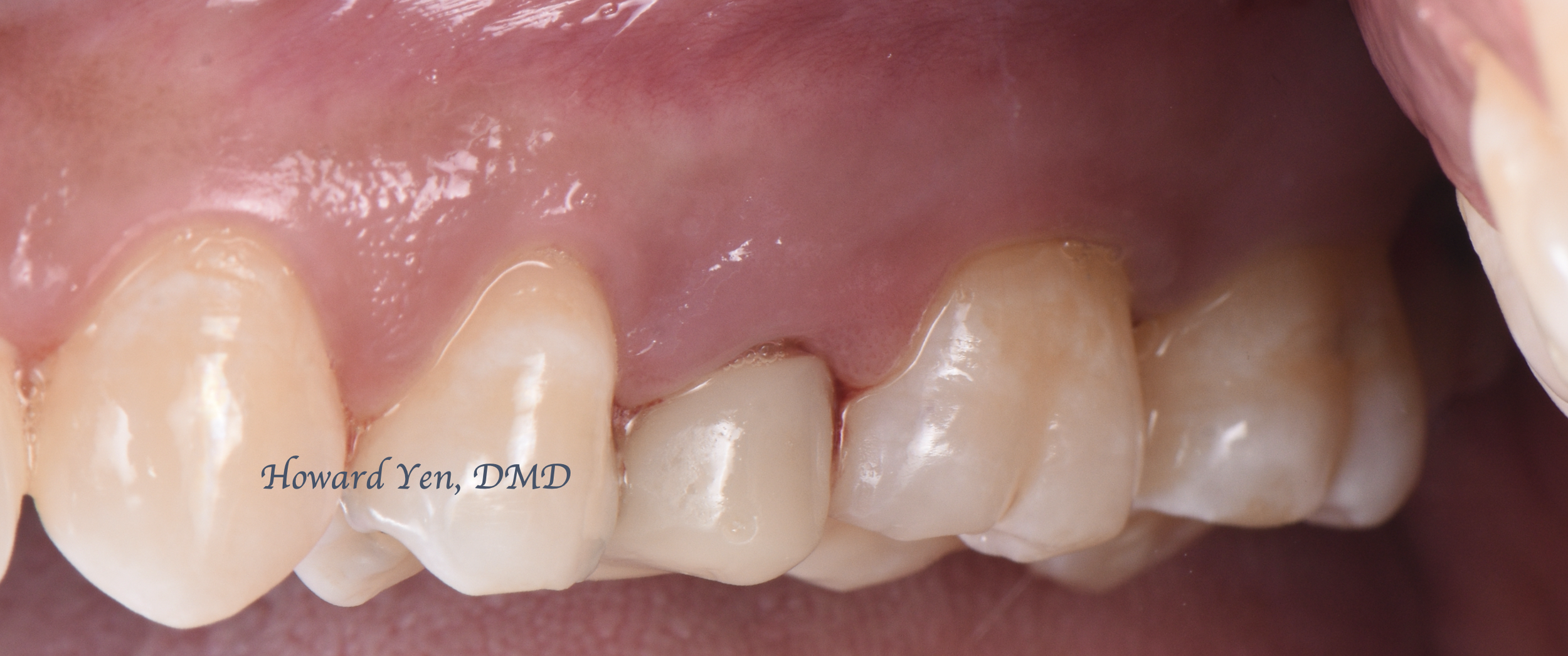
Crown Lengthening

Crown lengthening is a surgical procedure to help providing the restorative dentist adequate amount of sound tooth structure embedded beneath gum/jaw bone in restoring/salvaging natural tooth. It’s also done to help correct excessive gummy smile (altered passive eruption) for aesthetic purpose.